KOVİD SESSİZCE ÖLÜME SÜRÜKLÜYOR
			
Bir acil tıp uzmanı olan Dr. Richard Levitan’ ın New York Time’ daki yazısında olayın tam içinde olan biri olarak çok önemli bilgiler veriyor:
“Kovid pnömonisinin sinsi ilerleyen ve fark edilmesi zor olan “sessiz hipoksi” (oksijen eksikliği) ile karakterize olduğunu yeni anlamaya başladık.
Pnömoni, akciğer hava keseciklerinin sıvı veya iltihapla dolduğu bir enfeksiyondur.
Normal olarak hastalar göğüste sıkışma, nefes alırken ağrı ve diğer solunum problemleri yaşarlar ama kovid pnömonisi başladığında hastalar oksijen seviyeleri azalmış olsa bile nefes darlığı hissetmezler.
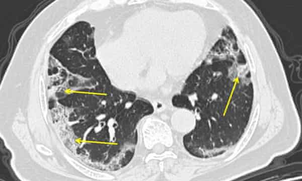
Hissetmeye başladıklarında da oksijen seviyeleri aşırı derecede düşüktür ve akciğer röntgeninde orta-ilerlemiş pnömoni bulguları vardır.
Deniz seviyesinde yaşayanlar için normal oksijen satürasyonu yüzde 94-100 arasındadır. Benim gördüğüm kovid pnömonili hastalarda bu değer yüzde 50’ ye kadar düşmüştü.
Gördüğüm hastaların çoğunun bir haftadan beri ateş, öksürük, mide rahatsızlığı ve yorgunluk şikayetleri olmasına rağmen ancak hastaneye geldikleri gün nefes darlığı hissetmelerine çok şaşırdım.
Pnömonileri günlerdir açıkça devam ediyor olmasına karşılık hastaneye gitmek zorunda olduklarını hissettiklerinde de durumları çok kritikleşmiş oluyordu.
Acillerde hastalar çeşitli sebeplerle entübe edilir yani ana nefes borusuna (trakea) bir tüp yerleştirilir.
30 senelik tecrübelerime göre acil entübe edilmeleri gerekenlerin çoğu şokta olan, şuurları bulanık olan veya hırıltılı soluyan hastalardı.
Akut hipoksi dolayısıyla entübe edilmeleri gereken hastaların şuuru çoğu zaman kapalı olur ve nefes almak için tüm solunum kaslarını kullanma çabası içinde olurlardı. Kovid pnömonisi olan hastalar ise çok farklıydı.
Gördüğüm kovid pnömonili hastaların oksijen satürasyonları tirajda görünüşte yaşamla bağdaşmayacak kadar düşüktü fakat biz onları monitöre bağlarken cep telefonlarıyla konuşabiliyorlardı.
Solunumları hızlanmış olmakla beraber görünümleri akciğer röntgenindeki berbat pnömoni ve çok düşük oksijen seviyelerine göre çok fazla sıkıntılı değildi.
Bunun neden böyle olduğunu şimdi anlamaya başladık.
Koronavirüsler “sürfaktan” yapan akciğer kesecik hücrelerine saldırıyorlar. Sürfaktan hava keseciklerinin açık kalmasını sağlar ve akciğer fonksiyonları bakımından çok kritik önemi vardır.
Kovid pnömonisinde enflamasyon ile hava kesecikleri sönmeye ve oksijen düşmeye başlıyor, oysa akciğerler henüz esnekliğini kaybetmiş veya sıvı ile dolmuş değildir. Bu, hastalar hâlâ karbon dioksidi atabiliyor demektir ve karbon dioksit yükselmediği için de nefes darlığı yoktur.
Hastalar kanlarında oksijen düşüklüğünü telafi etmek için farkında olmadan daha sık ve daha derin nefes alıp verirler.
Bu sessiz hipoksi ve hastanın buna fizyolojik cevabı enflamasyonu daha da artırır ve daha fazla hava keseciği kollabe olur, oksijen seviyeleri iyice düşene kadar pnömoni kötüleşir.
Gerçekte hasta daha sık ve zorlu solunum yaparak akciğerlerine zarar verir.
Kovid pnömonilerinin yüzde 20’ sinde akciğer hasarının ikinci ve daha ölümcül dönemi başlar. Akciğerlerde sıvı birikir, akciğerler sertleşir, karbon dioksit yükselir ve hasta solunum yetersizliğine girer.
Hastaların gözle görülür solunum sıkıntıları olduğunda ve çok düşük oksijen seviyeleriyle hastaneye başvurduklarında çoğunun artık bir ventilatöre ihtiyacı vardır.
Kovid pnömonili hastaların nefes darlığı hissetmeden aniden ölmelerinin sebebi hızla solunum yetersizliğine ilerleyen sessiz hipoksidir. (Kovidli hastaların çoğunda nispeten hafif semptomlar görülür ve tedavi olmadan bir veya iki hafta içinde hastalığın üstesinden gelirler.)
Bu pandeminin sağlık sistemine aşırı yük bindirmesinin ana sebebi hastalar acile geldiklerinde akciğerdeki hasarın çok ilerlemiş olmasıdır.
Kovid büyük ölçüde akciğerler vasıtasıyla ölüme yol açıyor ve birçok hasta pnömonileri çok ilerleyene kadar hastaneye gitmedikleri için çoğu ventilatöre bağlanmak zorunda kalıyor, makine sıkıntısı doğuyor. Ventilatöre bağlananların çoğu da ölüyor.
Ventilatör kullanımından kaçınmak hastalar ve sağlık sistemi için çok büyük bir kazançtır. Ventilatördeki hastalar için gereken kaynaklar şaşırtıcıdır. Ventilatöre itiraz etmemeleri ve tüplerini çekip çıkarmamaları için bunlara birçok yatıştırıcı ilaç vermek gerekir, toplar ve atar damarlarına kanül konması icap eder, damar içi ilaç ve pompalara ihtiyaç vardır. Trakeadaki tüpe ilave olarak mide ve mesanelerinde de kateter vardır. Akciğer fonksiyonlarını iyileştirmek amacıyla hastaların günde iki defa mide üstü ve sırt üstü çevrilmeleri için hastabakıcılar olmalıdır.
Kovid pnömonisi olan birçok hastayı erken teşhis ve tedavi etmenin yolu bu sessiz hipoksinin “oksimetre” ile tanınmasıdır.
Bunun kullanılması bir termometreden farklı değildir. Parmağa takıldıktan birkaç saniye sonra ekranında oksijen satürasyonu ve nabız hızı değerleri belirir. Bu aletler, oksijenasyon problemleri ve artmış kalp hızının tanınmasında çok güvenilirdir.
Boris Johnson’ un hipoksisi de bu şekilde tespit edilmiş ve gereken tedaviler erken uygulanabilmiştir.
Koronavirüs testleri pozitif olan her hastanın iki hafta süreyle oksimetre ile takipleri gerekir. Öksürük, yorgunluk ve ateşi olan her hastanın test yapılmamış olsa da testleri negatif olsa da oksimetre ile takipleri gerekir çünkü testlerin doğruluk derecesi yüzde 70’ dir.
Tüp ve ventilatörden kaçınmak için yapılması gereken şeylerden bir başkası da kovid pnömonilerinde en çok tutulan alt ve arka akciğer kısımlarını açmak için hastaya pozisyon verilmesidir, mide üstü ve yanlara yatırmak gibi. Oksijen ve pozisyon verme hastaların daha kolay nefes almasını sağlar ve birçok hastada hastalığın ilerlemesine engel olur.
Oksimetreler yüzde 100 doğru da mucize de değildir. Bazı ölümler engellenemez. Bazı hastalarda neden ağır durumlar ortaya çıktığını, çoklu organ yetersizliği geliştiğini tam bilmiyoruz. Birçok yaşlı ve altta yatan kronik hastalığı olanlar agresif tedaviye iyi cevap vermeyebiliyor”.
Sürfaktan nedir?
Sürfaktanın %90’ ı fosfolipit ve %10’ u proteindir. Sürfaktandaki ana lipit lesitin olarak da bilinen DPPC yani di-palmito-fosfatidil-kolin’ dir.
Hava keseciklerinde sıvı birikmesini önleyen bu madde tip 2 alveol hücreleri tarafından sentez edilir.
Sürfaktan eksikliğinde hava kesecikleri nefes verilince kollabe olur yani birbirine yapışır, nefes alırken açılmaları için çok daha fazla güç gerekir.
Gelelim neticeye
BİR: Kovid pnömonili hastaların önemli bir şikayetleri olmadığı halde oksijen seviyelerinin düşük olması (hipoksi) ve bunun erken tanınması tedavi bakımından çok önemlidir.
İKİ: Kovid pnömonili hasta başlangıçta kendini iyi hissederken birden hızla kötüleşebiliyor ve ventilatör tedavisine ihtiyaç oluyor. Ventilatör tedavisi gereken hastalarda ölüm oranı çok yüksek!
ÜÇ: Kuvvetli kovid şüphesi olan (testleri çıkmamış veya negatif olabilir) ve hastaneye yatırılmayıp ilaçlı veya ilaçsız evlerinde takip edilen hastaların oksijen seviyelerinin parmak oksimetresi ile ölçülmesi şarttır.
DÖRT: Kovid pnömonisinde ve akciğer hasarında yüzey gerilimini azaltıcı etkisi olan sürfaktan kaybını telafi eden ve/veya sürfaktan yapımını artıran tedaviler de dikkate alınmalıdır.
Kaynak: https://www.nytimes.com/2020/04/20/opinion/coronavirus-testing-pneumonia.html?smid=tw-share

















                    
                    
Bu aleti KOAH’ lı hastalarda kullanıyor. Rahmetli babamın vardı. Oksijen kullanırdı makine ile biz de parmaktan oksijenine bakardık. Doktoru 90ın altına düşmesin iyi derdi.
Eğer insanlar makinaya bağlanan hastaların çaresizliğini görselerdi bu sinsi hastalığı hafife almazlar bizlerde bu kadar can kaybı vermezdik.
Elbette ciddiye almalıyız ama aşırı da ilgilenmek sonucunda Coronaphobi doğurur, artık hafif bir öksürükte, tamam Corona semptomu diye telaşlanır ve sağlık kurumlarını, çalışanlarını ya boşuna meşgul eder ya da düşüne düşüne sonunda bu hastalığa yakalanır, elbette tedbir alalım ama bir taraftan da, bana bir şey olmaz diye düşünmenin inanın ki sonucu olumlu olacaktır. Sağlıklı günler dilerim
Hocam ülkemizde rahatlama sizce ne zaman olmaya başlar . Malum bilinen bir ilaç yok. Aşı da zaten en az 1 yıl sonra . Bu Bağışıklık Testi diye bir şey diyorlar hocam onunla alakalı fikirleriniz nelerdir . Aile Hekimleri tarafından yapılan kan testlerinde Bağışıklık Testi yapılarak Bağışıklığı düşük olanları bir nevi tedavi ederek Covid 19 a karşı direnç sağlamak için. Sevgiler
Sayın hocam aşağıdaki açıklama da size ait. Popüler olmak uğruna yaptığınız sıradışı açıklamalar inşallah can kaybına yol açmamıştır. Size inanan ve güvenen çok kişi var.
Bir koronaya bakın bir de dirençli bakterilere: DİRENÇLİ BAKTERİLER HER YIL 700 BİN KİŞİNİN ÖLÜMÜNE YOL AÇIYOR. Hangisinden daha çok “korkmalıyız”?
http://ahmetrasimkucukusta.com/2017/02/18/tabiban-i-cihan-icun/direncli-bakteriler-her-yil-700-bin-kisinin-olumune-yol-aciyor/