KOVİD’ DE AKCİĞERLERDE NELER OLUYOR
Dikkat: Yazıya ilave var!
***
Ağır KOVİD vakalarında çoğu zaman ARDS (acute respiratory distress syndrome=akut solunumsal sıkıntı sendromu) ve ALI (acute lung injury=akut akciğer hasarı) gelişir.
Akciğerlerde kontrol dışına çıkmış olan enflamasyon akut yaygın alveol hasarına yol açar ki bu durum akciğer röntgeninde buzlu cam ve yoğunluklar şeklinde görülür.
ARDS akut faza ilerlediğinde alveoller ödem sıvısı ile dolar, hücreler arası kısım olan interstisyumda enflamasyon ve kompresyon atelektazileri gelişir.
Bu kişilerin solunumlarına yardım için çoğu zaman entübe edilmeleri ve invazif mekanik ventilasyon yapılması icap eder.

ARDS/ALI’ de akciğerlerde nötrofil hücreler toplanır; enflamatuar sitokinlerin, kemokinlerin, proteazların ve oksidanların üretimi artar.
ARDS/ALI’ nin başlaması ve ilerlemesi inflamazomların aktivasyonuna bağlıdır.
İnflamazomlar, doğuştan gelen bağışıklık sistemimizin ayrılmaz bir parçasıdır.
İnflamazomlar, patojenleri, tehlikeye bağlı moleküler modelleri (DAMP) ve ürat ve kolesterol dâhil biyolojik kristalleri algılar.
İnflamazomların aktivasyonu, (IL)‑1β ve IL‑18 gibi pro-enflamatuar sitokinlerin salgılanmasına sebep olur.
Son senelerde ARDS/ALI’ nin başlamasında “NLRP3 inflamazomların” anahtar rolü olduğu anlaşılmıştır.
Bütün virüslerde doğuştan bağışıklık sistemi ile çatışan proteinler kodlanmıştır.
Bu çatışma bağışıklık cevaplarını baskılayabilir veya artırabilir.
Bazı virüsler, yayılmak için bağışıklık sistemini bozarken bazıları ise bağışıklık cevaplarını bozan hücresel faktörleri modüle ederler.
Covid-19 gibi koronavirüsler bağışıklık sistemini uyarmak için “viroporinleri” kullanırlar.
Viroporinler virüsler tarafından kodlanan “iyon kanalı proteinleridir”.
Viroporin ORF3 ve E proteininin virüs çoğalması ve patogenezinde kritik rolleri vardır.
E ve ORF3 proteinleri olmayan bir virüs canlılığını koruyamaz.
Covid-19’ un çoğalması ve virülansı doğrudan viroporin proteinleri E ve ORF3a ile ilgilidir.
Covid-19’ un ne kadar hızlı üreyeceği, bulaşıcılığı ve sebep olacağı hasar tamamen viroporinlerin işlevselliğine bağlıdır.
Viroporinler nasıl etki ederler?
KOVİD’ in virülansından viroporin zarf E proteini mesuldür.
E proteini aktivitesiyle artmış akciğer hasarı, ödemi ve ölüm arasında bir münasebet vardır.
ARDS’ nin ölümle neticelenen temel belirleyicisi ödemdir.
E proteini aktivitesi görüldüğünde ödem de IL-1β’ nin aracılık ettiği pro-enflamatuar cevaplar da artar.
Hayvan deneylerinde E proteini etkisinin olmamasıyla IL-1β aktivitesinin azaldığı gösterilmiştir.
SARS virüsü viroporin E proteinleri hücre membranlarında kalsiyum iyonlarının geçmesine fırsat veren protein-lipit kanalları oluştururlar.
Bu iyon kanalları, aşırı IL-1β sitokinlerin üretimi ile sonuçlanan NLRP3 inflamazomların aktivasyonunu tetiklemede spesifik tetikleyicilerdir.
E proteini iyon kanalları vasıtasıyla kalsiyum transportu, kontrolsüz sitokin fırtınası ve iki taraflı zatürrede ARDS/ALI ile neticelenecek sitokin üretimi kaskatını başlatır.
Hücre seviyesindeki iyonik bozukluklar SARS gibi koronavirüslerin neden ağır immuno-patolojik sonuçları ve kontrol edilemeyen hastalık ilerlemelerine yol açtığını izah eder.
Peki, koronavirüsler neden inflamazom üretimini aktive ederek IL-1β gibi sitokinlerin artmasına yol açarlar?
Sitokinlerin rolü
Sitokin adı verilen proteinler vücut hücrelerini patojenlerden korur fakat patolojik enflamasyonu da idare ederler.
Enflamatuar cevaplar virüsün çoğalmasını önleyerek enfeksiyonu baskılar ama enflamasyon çok fazla “virion” salgılanmasına sebep olarak viral enfeksiyonun makrofaj gibi hücrelere ve böylece de virüsün çeşitli doku ve organlara yayılmasına yol açabilir.
SARS virüsleri, yayılmalarını kolaylaştırmak amacıyla inflamazomları aktive etmek için viroporin proteinlerini kullanır.
E proteinleri gibi ORF3a isimli viroporin de NLRP3 inflazomları aktive eder.
Virüslerin çoğalmaları ve virülansları için E proteini ve ORF3a gereklidir; bunların yokluğunda virüs yaşayamaz.
Enfekte hücrelerde ORF3a fazla miktarda vardır ve bu viroporin, E proteini gibi membranlardaki kalsiyum veya sodyum iyonlarını yönetir.
ORF3a’ dan mahrum olan virüsler canlı kalabilirler ama virülansları azalır; her ikisinin yokluğunda virüs çoğalamaz.
ORF3a’ nın E proteinden farkı NF-κB aktivasyonunu, kemokin üretimini, Golgi parçalanmasını, endoplazmik retikulum stresini ve hücre içi veziküllerin toplanmasını başlatmasıdır.
Pro-apoptik hücre ölümünü başlatmadan ORF3a aktivitesinin sorumlu olduğu gösterilmiştir.
Viroporin E proteini de NLRP3 inflazom aktivasyonunu iyon kanalı aktivitesiyle yapar.
ORF3a’ nın ağır akciğer hasarı ile neticelenecek sitokin fırtınasını başlatan NLRP3 inflazom aktivasyon kabiliyeti iyon kanal aktivitesinden bağımsızdır.
ORF3a ubikutinasyon olaylarını kolaylaştırarak pro–IL-1β gen transkripsiyonu ve IL-1β protein sekresyonunu, bu da NLRP3 inflamazom aktivasyonu için gereken sinyalleri sağlayan gen transkripsiyonunu başlatır.
SARS virüsünün yüksek virülansı ve patojenitesinin sebebi hem ORF3a hem E proteinini kodlamasıdır.
Kaynak: https://www.evolutamente.it/covid-19-pneumonia-inflammasomes-the-melatonin-connection/
***
EK 1 (9.12.2020): Sitokin Fırtınası. Okuma parçası: https://www.nejm.org/doi/full/10.1056/NEJMra2026131
***
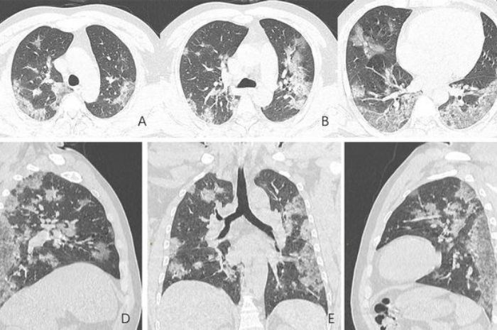
EK 2 (20.4.2022): Progression to ARDS in COVID-19: Here’s What It Looks Like Diffuse alveolar damage in acute respiratory distress syndrome.
Kaynak: https://consultqd.clevelandclinic.org/progression-to-ards-in-covid-19-heres-what-it-looks-like/
***

















Halk hiç bi şey anlamaz ama doktorların işine yarar bu bilgiler.
Elinize sağlık Hocam, akciğerlerde olanların temelini çok güzel anlatıyor bu yazı. Ben kendi adıma çok şey öğrendim.
COVID-19 VE İNFLAMAZOMOPATİLER
Bugün bir köşe yazarı limon, sirke tavsiye edenler ortadan kayboldular diye yazmış.
Cevabı bugün Ahmet Rasim hocanın küçük bir bölümünü tercüme etdiği yazı ile geldi (1).
Neden COVID-19 SARS’dan daha ağır seyrediyor, nihayet doğru dürüst bir açıklama bu yazıda var (2). COVID3 hem viroporin hem de E proteinini birlikde ifade ediyor, acaba +ve sense ssRNA virüsü olan yani doğrudan kendini kopyalama kolaylığına sahip SARS virüsüne bu gen ilave edilerek COVID-19 elde edilmiş olmasın?
Hoca muhtemelen makalenin devamını yarın ve öbür güne bırakdı.
O’na bir sürpriz yapıp ben hemen kısaca söyleyeyim; Bu proteinler hücrelerde, mesela pnömositlerde ve diğer antijen sunucu hücrelerde NLRP3 inflamazomu aktive ediyor, ortaya çıkan sitokin fırtınasının ve ağır akciğer hasarının sebebi bu.
Bebek ve çocuklarda bu hadisenin ortaya çıkmamasının sebebi ise, bu inflamazomun hücre saati ile alakası, bunu da diğer kronobiyolojik ajan melatonin temin ediyor. Melatonin yaşla birlikde azalıyor.
Makalede olmayan bir hatırlatma, bu moleküllerin aynı zamanda rutubet ile de alakası var (Romatoid artrit!).
Makalede hastalara melatonin ve Canan hocanın tavsiye etdiği askorbik asit yani C vitamini verilmesi tavsiye edilmiş!!
…..
O halde hastalanmamak için gece iyi uyumak, günde bir limon sıkıp içmek, yoğun bakımdaki hastaları ışıkdan (melatonin seviyesinin artışını sağlar) ve nemden korumak ve melatonin ve askorbik asit uygulamak denenebilir kanaatindeyim. Gilead’ın antiviraline tercih ederim doğrusu!
Burada, dikkatimi çeken diğer bir nokta İtalya, İspanya ve İran’da yani otoinflamatuar hastalıkların (FMF prototipidir) en sık görüldüğü ülkelerde COVID-19’un sık ve ağır seyretmesi dikkat çekicidir. NLRP3’ün pyrin molekülü ile alakası buna sebep olabilir (3).
Benzer genetik özelliğe sahip ülkemizde durumun daha iyi olması ise muhtemelen hükümetimizin aldığı tedbirlere ve ülkemizin son üçyüz yıldaki en güçlü konuma gelmiş olması olabilir mi?!
(1) http://ahmetrasimkucukusta.com/2020/04/02/yazilar/tip-yazilari/corona-virus/covid-19-da-akcigerlerde-neler-oluyor/
(2) https://www.evolutamente.it/covid-19-pneumonia-inflammasomes-the-melatonin-connection/
(3) https://www.ncbi.nlm.nih.gov/pmc/articles/PMC5271383/